University of Cincinnati
CONNECT
VISIT
APPLY
COST
magnifying glass
Use the form to search UC's web site for pages, programs, directory profiles and more.
1819 Innovation Hub
1819 Innovation Hub
right arrow
down arrow
About
right arrow
down arrow
In the News
Meet the Team
right arrow
down arrow
Ryan Hays
Cincinnati Innovation District
Student Opportunities
Services
right arrow
down arrow
1819 Learning Lab
Proof in the numbers
Connect with us
Corporate Partners
right arrow
down arrow
Anchors
Alliances
Tech Transfer and IP
right arrow
down arrow
Tech Transfer Process
Share Your Idea
FAQs / Policies
The Ohio IP Promise
right arrow
down arrow
Licensing options
Stats and rankings
Disclosure Forms
right arrow
down arrow
Available Technologies
Agreements
right arrow
down arrow
Industry Research Tiers
MTAs / CDAs / DUAs
Express License vs Option
Express License Agreement
Express Option Agreement
Venture Lab
right arrow
down arrow
About the Venture Lab
Pre-Accelerator
Application
Cohorts
right arrow
down arrow
Cohort 22
Cohort 21
Cohort 20
Cohort 19
Cohort 18
Cohort 17
Entrepreneurs in Residence
Makerspace
UC Esports
right arrow
down arrow
About Us
right arrow
down arrow
Community
Competition
Academics
right arrow
down arrow
Academic Resources
Events
Innovation Lab
right arrow
down arrow
Specifications
Studios
FAQs
Contact Us
Support for Schools
Contact
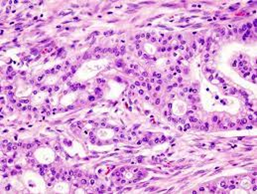
Novel Treatment Strategies for Pancreatic Cancer using Recombinant Acid Sphingomyelinase (2023-072)
2023-072
Technology Overview
Background
Advantages and Benefits
Patents
Title
Country
Serial No.
Patent No.
File Date
Issued Date
Other Media
Inventor(s)
Gregory Wilson
Erich Gulbins
Syed Ahmad
Contact
Jill Uhl
Sr. Licensing Associate, Life Sciences
Lead Inventor
Keywords
Acid Sphingomyelinase
,
Cancer
,
Healthcare
,
Pancreatic Adenocarcinoma (PDAC)
,
Tumor Progression
,
Download as PDF
CONTACT US